DSS: Redefining Biotechnology & Life Science in India

Home > Applications & Specialities > Genetic Disorders > Karyotyping

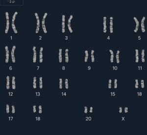
Karyotyping

1. Karyotyping is visual observation of the chromosomes under the microscope through chromosome counting and its analysis.

2. Depending upon the sample to analyze this process can take a couple of hours to a couple of days just manually scanning through the slides to find the cells and perform the analysis.

3. DSS offers a complete solution from wide range of medias, growth factors, harvesters, slide spreaders to microscopes and analysis softwares.

4. Product Line: Euroclone, Hanabi, Upright and Inverted Microscopes, Applied Spectral Imaging.

Spectral Karyotyping

1. Spectral Karyotyping (SKY) is a technique that enables the simultaneous identification of all the chromosomes in different colors by using a unique spectral-imaging system.

2. The system enables the measurement of the full visible light spectrum at each pixel of the image.

3. HiSKY is considered to be the Gold Standard in color karyotyping with results and sensitivity far beyond any competing technology

Karyotyping
Filter Filter

Prenatal Analysis Cytogenetic Culture Media Reagents

Prenatal Analysis Cytogenetic Culture Media Reagents include Chorionic Villi and In Situ

Postnatal Analysis Cytogenetic Culture Media Reagents

Postnatal cytogenetic analysis refers to the karyotyping of samples derived from a variety of tissues: peripheral blood, bone marrow and skin fibroblast.

Pre-Hypotonic Solution

Pre-Hypotonic Solution is a ProCell Cytogenetics Reagent that was developed to address this clumping problem. Optimal metaphase swelling can therefore subsequently be achieved by your hypotonic solution.

Metaphase Arresting Solution

MAS (Metaphase Arresting Solution) is a ProCell Cytogenetics Reagent that is a highly refined solution of colchicine/vinblastine sulphate in PBS, used to increase the percentage of metaphase cells for chromosomal studies.

Optimal Hypotonic Solution

Optimal Hypotonic Solution is a ProCell Cytogenetics Reagent which is developed for acute leukaemia bone marrow and tumour cells, also useful with problem blood and other problematic sample types.

Lymphocyte Growth Supplement

Lymphocyte Growth Supplement is a ProCell Cytogenetics Reagent that is a complex mixture of growth promoters that have a marked stimulatory effect on peripheral lymphocyte cultures.

Erythrocyte Lysis Solution

ELS (Erythrocyte Lysis Solution) is a ProCell Cytogenetics Reagent that lyses red blood cells, sometimes found in amniotic fluid and bone marrow samples.

Cytoclear Cytoplasm Remover

Cytoclear is a ProCell Cytogenetics Reagent which is an effective, easy-to-use product that improves the quality of both brightfield and FISH samples by removing troublesome cytoplasm.

Chromosome Resolution Additive

CRA (Chromosome Resolution Additive) is a ProCell Cytogenetics Reagent that prevents chromosome contraction and encourages chromosome elongation by loosening the chemical bonding within the supercoiled structure of the chromosome.

Buffered Hypotonic Solution

Buffered Hypotonic Solution is a ProCell Cytogenetics Reagent that is a hypotonic solution developed for bone marrow specimens.

Bone Marrow Growth Supplement

BMGS (Bone Marrow Growth Supplement) is a ProCell Cytogenetics Reagent that has a marked stimulatory effect on cell growth and morphology in Bone Marrow samples by exposing the cells in culture to a complex mixture of known growth promoters.

VP2000

VP2000 is a consolidated workstation for
automated front-end FISH* processing

Single Chromosome Paints

ASI offers a range of whole chromosome painting probes for human, mouse and rat chromosomes.

Spectral Karyotyping Paints

SKYPaint® Probes are 24-color combinatorically labeled FISH probes specifically designed for GenASIs Spectral Karyotyping (HiSKY®)

Spotscan (Liquid FISH)

SpotScan provides an advanced FISH signal detection, enumeration, cell segmentation and classification solution for automated high-volume, high-accuracy FISH analysis. 

FISHview (Liquid FISH)

It is a multicolor/multidimensional image capture and enhancement software.

Hyperspectral Karyotyping

GenASIs HiSKY performs Hyperspectral Karyotyping analysis, leveraging the benefits of multiplexed spectral imaging to obtain a karyotype which uniquely colors each chromosome and provides a level of detailed analysis not available with any other karyotyping technique.

HiBand

GenASIs Bandview is a software module for karyotyping diagnostics, offering cytogenetic labs with accurate, repeatable and standardized analysis.

Testimonials & Reviews

Right Arrow
Left Arrow
Dr. (Prof.), Nitesh Mohan
Dr. (Prof.), Nitesh Mohan
Professor & Head, Department of Pathology, RMCH Bareilly

DSS's expertise, dedication, and professionalism were outstanding in making the Karyotyping & FISH workshop a great success. Their knowledge and valuable insights empowered all the participants with practical skills, receiving highly positive feedback from both students as well as faculty members.

Dr. Chhaya Chande, Professor & HOD, Microbiology
Dr. Chhaya Chande, Professor & HOD, Microbiology
GGMCJJ Hospitals, Mumbai

“Ms. Megha Dhumal (Assistant Manager- Application) has done a satisfactory demonstration of the running of the Abbott Sample preparation machine model m2000sp and the Abbott RT-PCR machine model m2000rt. We appreciate the effort made by the DSS team under these difficult conditions to help our lab to carry out the imperative Covid-19 tests.”

Dr Sunil K Arora, Professor, Deptt of Immunopathology
Dr Sunil K Arora, Professor, Deptt of Immunopathology
PGIMER, Chandigarh

“We are using Confocal Microscope and one Fluorescence Microscope. Both are working fine. The after sales services by DSS have been excellent for functioning & upkeep of the microscopes. The applications support by experts from DSS is very useful. Keep it up!”

Dr Pramod Kumar Bajaj
Dr Pramod Kumar Bajaj
MD, Spermprocessor Pvt Ltd

“Really excited to see the DSS Pathology solutions exhibition booth at APCON 2019 along with Magnus. We think all the upcoming technology had been displayed along with your efforts to make it Indigenous (Made in India) is highly appreciated. Wish you all the best. Keep it up!”

Dr. Sreejesh S, Associate Professor, Dept of Hematology
Dr. Sreejesh S, Associate Professor, Dept of Hematology
PGIMER, Chandigarh

“My experience with DSS so far has been very good till now. We are getting good support in both purchase as well as in troubleshooting. Very good experience with Mr Arun, Mr Manoj, Mr Mahesh and all others from the DSS team.”

Dr Sudha S Murthy, Department of Pathology and Laboratory Medicine
Dr Sudha S Murthy, Department of Pathology and Laboratory Medicine
BIACH & RI, Hyderabad

“I am happy with DSS and associated with 19 years and use Dako antibody. Happy with Supply but need improvement.”

Dr S Radhika MD, PhD
Dr S Radhika MD, PhD
Professor, Deptt. Of Cytology & Gynaec Pathology, PGIMER, Chandigarh

“PGI Cytology Dept. has had a long association with DSS- Olympus Microscopy Division. They have provided excellent services- after sales service. The product is also of very good quality. We have had no problems with their products and services are of very good quality.”

Dr Nuzhat Husain
Dr Nuzhat Husain
RMLIMS, Lucknow

“Have been using Dako Reagents and Dako antibodies for a while. Services and products have been good and timely.”

Dr Minu Singh
Dr Minu Singh
Assistant Professor, PGIMER, Chandigarh

“MRC Holland MLPA products provided by DSS are of good quality, have never faced any quality issues with their product or shipping condition. They provide prompt response upon any query.”

Mr. Krishnani
Mr. Krishnani Professor, SGPGI, Lucknow

“My experience with DSS so far has been excellent for the last 30 years- sales and service experience. Microscope products are very useful and sturdy with high precision.”